Symptoms and diagnosis of kidney stones
What is renal colic?
Renal colic is a severe pain that is commonly caused by kidney stones. The word “renal” refers to anything related to the kidneys. This pain can present suddenly and without warning. Usually on one side of the body the pain can be felt in the back and can move around your side and into your groin. The pain occurs as the kidney stone moves from the kidney and along the ureters. Ureters are narrow, flexible tubes that join your kidneys to your bladder. The pain is caused by the dilation, stretching and spasm of the ureter as the stone tries to pass in the urine. Kidney stones may occur in one or both kidneys.
What other symptoms I may have ?
There is usually associated nausea and vomiting.
• You may experience frequency in the amount of times you urinate.
• One may experience pain when urinating known as dysuria.
• Blood may also be seen in the urine. This is known as haematuria and is caused by the stone scratching the ureter and occasionally cloudy or smelly urine.
• A high temperature of 38C or 100F or higher
indicate associated infection and this can lead to a serious condition called sepsis (infection spreading to blood). If it happens, you will have to report to hospital straight away for treatment.
What tests are carried out to diagnose kidney stones ?
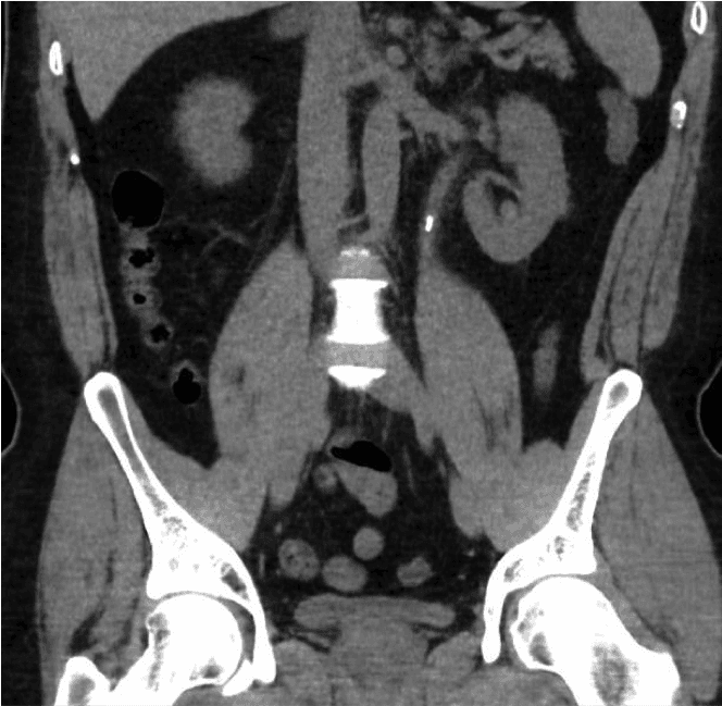
Initially a urine dipstick test will be preformed to check for blood in the urine and rule out urine infection. Blood tests for kidney function and Calcium are performed. The definitive diagnostic test for stone is a plain CT scan of the Abdomen (CT Kidney Ureter Bladder area or CT KUB). This will show the size and position of stones which will help in planning treatment.
If you are a woman of child bearing age it is important to let the doctor or the nurse know if there is any possibility of you being pregnant. If in doubt we may need to perform a pregnancy test. This is important to avoid any inadvertent radiation exposure to a baby in the womb during the scan. If you are pregnant, you may need an Ultrasound scan or MRI scan
for diagnosis.

What treatment will I receive ?
Painkillers (Non-Steroidal or NSAID) is the first line of treatment. This may include tablets like Ibuprofen or Diclofenac given as tablets or suppositories. If the pain is not controlled, stronger painkillers like Morphine might be given as injection.
Stones in the Ureter are likely to pass if they are small. For example, stones less than 5mm in the lower part of ureter has more than 90% chance of passing in the urine without any treatment.
Stones that don't pass after 4 weeks time and stones that cause persistent pain may need active treatment by either Shockwave Lithotripsy
or Ureteroscopy
(Telescopic operation with laser to break and remove the stone).
If you had a very large stone (over 2cm) in the upper ureter or within the kidney, you may need PCNL
(Keyhole surgery to remove the stone)
What can I do whilst waiting for treatment?
- DRINK PLENTY OF WATER. You should drink at least 2 liters of water daily to help the stone pass and try to prevent other stones being formed. You can tell if you are drinking enough water by the colour of your urine. Urine should be a very pale yellow or colourless fluid. If your urine is dark yellow this means you are not drinking enough and are dehydrated.
- TAKE REGULAR ANALGESIA. Medication will be prescribed for you to take home. Please take this as regularly as directed by the doctor.
- CHANGE IN DIET. Eating certain foods that are high in protein, calcium and oxalates may also contribute towards kidney stones. Reducing these sensible in your diet may help to improve your symptoms over time. Please see the
Dietary Advice Sheet for Kidney Stones.
What shall I do if my symptoms become worse?
If you develop any of the following symptoms please contact your Urologist or GP or Local Accident and Emergency Department.
➢ Very severe pain in the lower side of your back
not controlled by painkillers
➢ Fever
➢ Temperature above 38C or 100F
➢ Shivering
➢ Nausea and Vomiting
➢ Diarrhoea
