Kidney Stones: Symptoms and treatment
We are regional specialists in kidney stone treatment providing the comprehensive range of treatment options including Shockwave treatment, laser treatment and keyhole surgery. We are the only private urologists to provide telescopic, keyhole and open surgery for stones under one roof.
Kidney Stone disease is one of the most common diseases of the
modern era. The prevalence varies greatly between geographic
locations, ranging from 8% to 19% in males and 3% to 5% in
females in Western countries [1,2]. The number of hospital episodes due to kidney stones in the UK has increased
by 63% to 83 050 from 2000 to 2010 [3]. The increasing
prevalence of stone disease places a major economical and
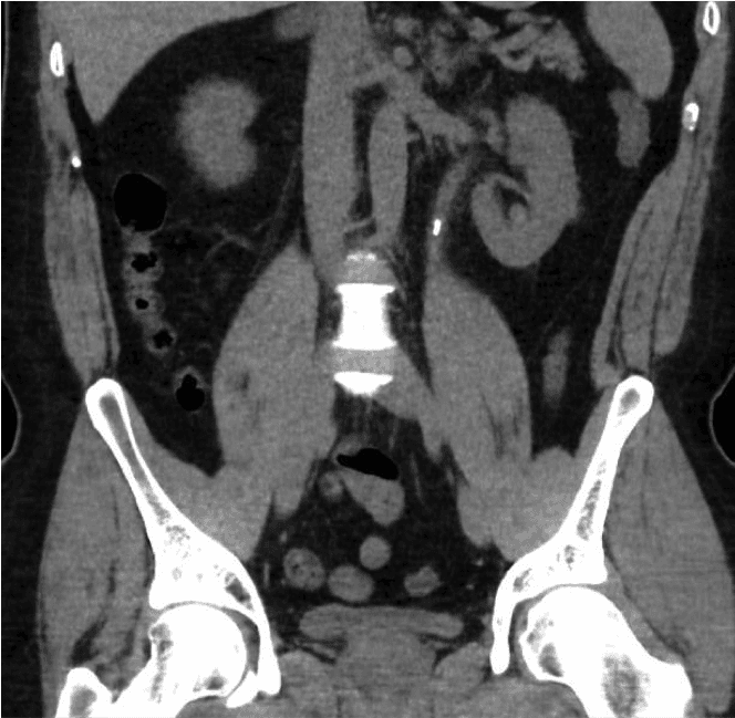
clinical burden on our healthcare system. Kidney stones may present incidentally on a scan performed for other reasons or present with symptoms such as pain, urine infection or hematuria (blood in the urine).
You will find information of symptoms of kidney stones, how the diagnosis is made and the treatment options by clicking on the following links. There is a dietary information leaflet with advice for prevention of stones as well.
References:
1. Stamatelou KK, Francis ME, Jones CA, Nyberg LM, Curhan GC. Time
trends in reported prevalence of kidney stones in the United States: 1976–
1994. Kidney Int 2003; 63: 1817–23
2
2.Hesse A, Br€andle E, Wilbert D, K€ohrmann KU, Alken P. Study on the
prevalence and incidence of urolithiasis in Germany comparing the years
1979 vs. 2000. Eur Urol 2003; 44: 709–13
3
3.Turney BW, Reynard JM, Noble JG, Keoghane SR. Trends in urological
stone disease. BJU Int 2012; 109: 1082–7






